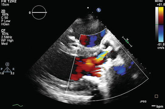
Paravalvular Regurgitation : Pvl represents pathologic regurgitation originating outside the sewing ring.